Doctor Referrals

Before & Afters Photos - Melissa, TX

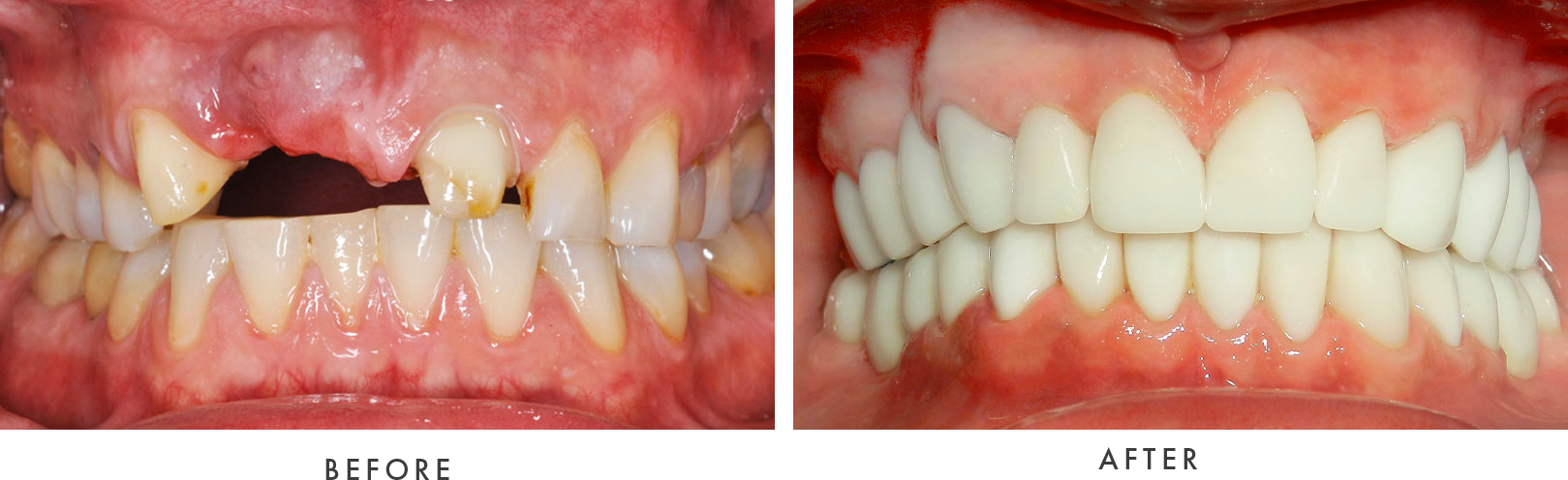
The Proof Is In Our Patients

Schedule Your Appointment

Get Started

Before & After Photos

Before and after photo of dental procedure
close up of before and after dental procedure results
close up of before and after dental procedure results
close up of before and after dental procedure results
close up of before and after dental procedure results
Dental Implants
Dental Implants
Full Mouth Dental Implants
Full Mouth Dental Implants

Find out how life-changing dental implants can be for you!

Schedule An Appointment

I understand the information disclosed in this form may be subject to re-disclosure and may no longer be protected by HIPAA privacy regulations and the HITECH Act.

schedule appointment